The Daily Pulse
business economy /

What happens if you leave a rotten tooth in your mouth?

What Happens If You Leave Rotten Teeth In Your Mouth? Leaving rotten teeth in your mouth will cause severe toothache and intense pain. Also, leaving a rotten tooth in the mouth has been said to cause blood poisoning. This occurs when the rot of the teeth is deposited in the mouth and swallowed with saliva.

What happens if a rotten tooth is not removed?

Although not an immediate consequence, dentists strongly advise that letting rotten teeth go unattended can lead to blood poisoning. This happens because the rot from the teeth keeps getting deposited into the mouth, and in most cases, it's swallowed along with saliva.

How long can a decayed tooth stay in your mouth?

A dead tooth can stay in your mouth for up to several days or months; however, keeping a dead tooth may lead to problems with your jaw and also result in the spreading of decay and bacteria to other teeth. Most dentists will recommend having the dead tooth extracted and replaced with a denture, bridge, or implant.

Can a rotten tooth harm you?

So, to answer the question posed earlier, unfortunately the answer is: β€œYES”. If left untreated for too long and allowed to progress to advanced stages, tooth decay can be THAT dangerous and YES it CAN actually KILL You.

Can a rotten tooth infect your mouth?

If it's not treated, a tooth abscess can spread to the floor of the mouth or to the neck and threaten your airway and ability to breathe. This may be life-threatening unless it's properly drained. An untreated infection also can spread to your jaw or other parts of your head or neck.

What problems can be caused due to cavities if left untreated?-Dr. Jayaprakash Ittigi

Can I leave a broken tooth in my mouth?

Even if your broken tooth doesn't hurt, you shouldn't leave it untreated. There could be many more severe underlying issues that you are at increased risk of. One of the most alarming possible side effects of a broken tooth is that food detritus can get trapped inside, leading to bad infections.

How do you get rid of a rotten tooth at home?

Here are a few tips to help you pull out your loose tooth painlessly.

  1. Keep Wiggling. Wiggle the tooth back and forth with your clean hands or tongue, as it will help loosen it and fall out on its own.
  2. Brush and Floss Vigorously. ...
  3. Wet Wash Cloth/Gauze. ...
  4. Twist and Pull Gently. ...
  5. Visit Your Dentist.

How do you know if a tooth infection has spread to your brain?

The tooth infection spread to brain symptoms are more or less similar to the symptoms you see when the infection has spread to the body, but brain abscesses also have some other telltale clues: Confusion or irritability. Issues with nerve function, like muscle weakness or even paralysis. Seizures.

When does a decayed tooth have to be removed?

If tooth decay has spread to the pulp (in the centre of the tooth, containing blood and nerves) – this may be removed in a process known as root canal treatment. If the tooth is so badly damaged that it can't be restored – it may need to be removed.

Is A dead tooth an emergency?

It's important to treat a dying or dead tooth as soon as possible. That's because left untreated, the bacteria from the dead tooth can spread and lead to the loss of additional teeth. It could also affect your jawbone and gums. Your dentist may treat a dead or dying tooth with a procedure known as a root canal.

Will a black tooth fall out?

A dead tooth will also no longer have any blood flow to it. A dead nerve in a tooth is sometimes referred to as a necrotic pulp or a pulpless tooth. Once this happens, the tooth will eventually fall out by itself.

What happens if a tooth Cannot be saved?

When a tooth is missing the surrounding teeth will shift and drift into spaces that make it difficult to eat, cause damage to the jaw bone, and potentially damage other teeth. Bone loss, uncommon cavities, and TMJ problems are all associated with tooth loss without replacement.

What would happen if I pulled my own tooth out?

Ripping a tooth out incorrectly or before it's ready could damage the surrounding teeth, fracture your jawbone, or even injure the alveolar nerve in the lower jaw and cause permanent numbness.

Can you pull a cavity out yourself?

To make a long story short, you CAN pull your own tooth, but YOU SHOULDN'T. If the time comes where you're in so much pain you're about to grab the pliers and yank that thing out, the bottom line is you need to take an emergency visit to the dentist.

Which tooth is connected to the heart?

Wisdom teeth, on the other hand, connect to the central nervous system, heart, liver, and intestines. They can also signal high blood pressure, eczema, headache, liver disease, pain in the extremities, and cardiovascular disease.

How do I know if my tooth infection has spread to my jaw?

If you have a fever and swelling in your face and you can't reach your dentist, go to an emergency room. Also go to the emergency room if you have trouble breathing or swallowing. These symptoms may indicate that the infection has spread deeper into your jaw and surrounding tissue or even to other areas of your body.

Can a tooth infection affect your whole body?

Without treatment, a tooth infection can spread to the face and neck. Severe infections may even reach more distant parts of the body. In some cases, they may become systemic, affecting multiple tissues and systems throughout the body.

Should I get a rotten tooth pulled?

Tooth Decay

However, when a cavity is left untreated, it will get larger. Larger cavities don't cause pain until the decay reaches the nerves. While not all large cavities require having a tooth pulled, it's possible you need a tooth extraction if the tooth cannot be repaired.

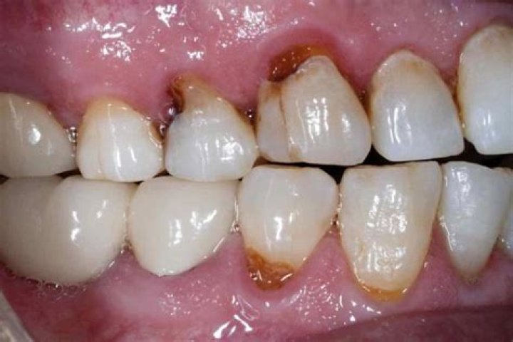
What does a rotten tooth look like?

If the process of tooth decay is allowed to continue, enamel will break down further. You may notice that a white spot on a tooth darkens to a brownish color. As enamel is weakened, small holes in your teeth called cavities, or dental caries, can form. Cavities will need to be filled by your dentist.

Is it OK to leave a piece of tooth root in gum?

Much like impacted teeth, which become lodged in gum or bone, retained roots can give rise to infection. This is especially true if the roots are only partially covered. Because the roots are essentially dead material, they can become food for bacteria.

Can you pull a tooth that is broken at gum line?

If a tooth becomes broken at the gum line, the dentist may need to make an incision to remove the pieces. The method of removal depends on the location and condition of the tooth. Most cases only require simple extractions. An incision becomes necessary when the dentist can't reach the tooth with tools.

How do you deaden a nerve in your tooth?

Want to numb your tooth pain? Swishing alcohol like whiskey, scotch, vodka, and brandy will kill the germs and help numb the area around the tooth. A cotton ball soaked in alcohol and applied to the affected area might also be a good way to apply this pain reliever.

Why won't a dentist pull an infected tooth?

When is tooth extraction not preferred? There are certain situations such as excessive swelling of the face or stretched oral tissue where the dentist would advise against getting an infected tooth extracted. In such conditions, the infection has to be drained first, along with the use of antibiotics.

Can you pull a tooth that is infected?

The presence of an acute infection characterized by severe percussion pain is not a contraindication for tooth extraction. Infected teeth should be extracted as soon as possible and the procedure should not be postponed by giving antibiotics.

Does black tooth mean infection?

The tooth may also appear black when damage occurs from the inside. The most common causes of black teeth in these cases are decay or cavities. For example, a tooth with a pulp infection or a dead tooth may turn black. The damage starts on the inside and works its way to the surface.