The Daily Pulse
science discoveries /

Does throbbing gums mean infection?

Everyone has different sensitivity levels, and having infrequent sore gums is not something to worry over. Sometimes it is caused by brushing too hard or flossing. However, throbbing in the mouth and gums can mean infection. Other evidence of ingestion would be swelling within the mouth and face.

Does a gum infection throb?

Dental infections

An infection in the tooth or gums can cause throbbing pain, as well as other symptoms, including swelling in the face or mouth. These infections usually appear when a person does not seek treatment for a severe cavity, but they can also happen following oral surgery or injuries to the mouth.

How do I know if I have an infection in my gums?

Signs that you may have infected gums include:

  1. Gums that are swollen, tender or bleeding.
  2. Receding gums.
  3. Pus coming from the gums.
  4. Chronic bad breath.
  5. Loose teeth.
  6. A noticeable change in the way your teeth fit together when you bite.

How do I stop my gums from throbbing?

Seven Home Remedies for Relief from Throbbing Gum Pain

  1. Saltwater Rinse. If bacteria are causing your sore gums, rinsing twice a day with warm saltwater should help reduce swelling and relieve the pain. ...
  2. Hot or Cold Compress. ...
  3. Essential Oils. ...
  4. Herbal Paste. ...
  5. Warm Tea Bags. ...
  6. Over-the-Counter Gel or Medication. ...
  7. Healthy Diet.

What does an infection in your gums feel like?

Symptoms of Gum Infections

One of the primary symptoms is that gums will be red and swollen. They will also be tender to the touch. While gingivitis may result in some minor swelling or darkening of the color of the gums, an infection will result in even more swelling and deeper redness.

Dental Abscess

How do I know if I have an infection in my mouth?

Different oral infections can have different symptoms, but the most common ones are:

  1. Recurring bad breath.
  2. Bleeding or sore gums.
  3. Tooth, gum, or jaw pain.
  4. Tooth sensitivity to hot or cold foods.
  5. Swelling of the gums, jaw, or lymph nodes.
  6. Loose teeth.
  7. Sores in the mouth, gums, or lips.

Can a gum infection heal on its own?

An abscess in the gum is called a periodontal abscess. Dental abscesses are often painful, but not always. In either case, they should be looked at by a dentist. It's important to get help as soon as possible, as abscesses do not go away on their own.

Why do my gums feel like they are pulsating?

Other common causes for throbbing gums:

Brushing too hard. Improper dental care like flossing. Gum infection or stress. Smoking and diet.

Why do my teeth feel like they are throbbing?

Throbbing tooth pain is characterised by a pulsating feeling, similar to a heartbeat. The most common cause of throbbing pain in a tooth is early stage tooth decay. Tooth pain or toothache is one of the most common types of pain and may require dental treatment.

Why does my tooth feel like it has a pulse?

A pulse, or throbbing sensation in your teeth usually indicates the presence of inflammation and infection. You may also have tooth decay, a cavity, or an abscess. A pulse may feel like a heartbeat accompanied by dull pain.

Can you have a gum infection and not know it?

Gum disease is often painless and without noticeable symptoms, making it hard to know if you really have it. Many symptoms may not appear until an advanced stage of the disease, called periodontitis.

How long does a gum infection last?

In most cases, gingivitis usually clears up within 10 to 14 days. If your gingivitis is more serious, it could take longer to treat. Take charge of your dental health to prevent it from recurring.

What is the fastest way to get rid of a gum infection?

Salt water is extremely effective in helping to heal gums affected by gum disease. Salt water can treat inflammation, ease pain, and reduce bacteria in the mouth and gums. Rinsing with salt water 2-3 times a day can be effective in battling a gum infection.

Why does throbbing tooth pain come and go?

Throbbing tooth pain that comes and goes can indicate tooth damage. A toothache can also be due to cavity or tooth decay. A person is also likely to experience throbbing tooth pain in the presence of tooth infection or inflammation, called pulpitis.

Can throbbing tooth pain go away?

Can my toothache go away on its own? Some toothaches that come from pain around (but not inside) your tooth can get better without a trip to the dentist. Pain from a temporary irritation (redness) in the gum can be resolved within a few days. During this time try not to chew around the affected area.

What is the best antibiotic for gum infection?

Metronidazole works best when used in a combination with amoxicillin or tetracycline. Ciprofloxacin: This antibiotic is used to specifically target A. actinomycetemcomitans, a slow-growing but harmful bacterium that contributes to gum disease.

How do you know if a tooth infection has spread to your brain?

The tooth infection spread to brain symptoms are more or less similar to the symptoms you see when the infection has spread to the body, but brain abscesses also have some other telltale clues: Confusion or irritability. Issues with nerve function, like muscle weakness or even paralysis. Seizures.

What is the best natural antibiotic for gum infection?

7 NATURAL ANTIBIOTICS TO WARD OFF ANY DENTAL INFECTION

  • SALT WATER RINSES.
  • SODIUM BICARBONATE.
  • ESSENTIAL OILS.
  • HERBAL TEA OR FENUGREEK.
  • HYDROGEN PEROXIDE OR OXYGENATED WATER.
  • GARLIC.
  • ALOE VERA GEL.
  • CONTACT US: NATURAL ANTIBIOTICS TO WARD OFF ANY DENTAL INFECTION.

How do I get rid of a bacterial infection in my mouth?

How To Get Rid Of Bad Bacteria In The Mouth: 6 Ways To Inactivate The Harmful Bugs

  1. Brush Your Teeth. May be it goes without saying, maybe it doesn't – but Brush Your Teeth! ...
  2. Swish With A Peroxide Or Alcohol Containing Mouthwash. ...
  3. Floss Between Your Teeth. ...
  4. Brush Your Tongue. ...
  5. Drink Water. ...
  6. Take A Probiotic. ...
  7. Eat Fibrous Food.

Why do my gums hurt in one spot?

Gums may hurt in one spot if you have a sore anywhere along the gums. This can occur from consumption of hard or sharp foods, a gum abscess, or from an infection trapped within the gums. Food trapped between teeth can also exert pressure upon the gums, and if not removed by flossing, it can cause pain in the gums.

Can salt water rinse heal gum infection?

Salt water can help to remove the plaque and bacteria from your teeth and gums. Salt has healing properties that can treat and heal inflamed or swollen gums caused by gum disease. Even though salt water is extremely effective in helping to treat gum disease, salt water cannot cure gum disease.

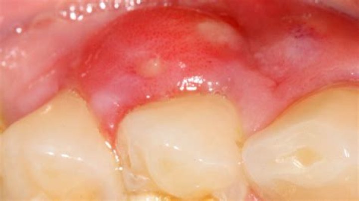
What does gum abscess look like?

What does a gum abscess look like? It may start as a shiny, reddened area of your gum tissue. As the abscess progresses, a tiny white or yellow dot may appear on your gums, gradually getting larger as the abscess fills with pus. Eventually, the abscess will resemble a pimple on the gum.

How can I get rid of tooth infection without antibiotics?

10 natural remedies for a tooth infection

  1. Saltwater rinse. ...
  2. Baking soda. ...
  3. Essential oils. ...
  4. Herbal teas. ...
  5. Hydrogen peroxide. ...
  6. Garlic. ...
  7. Over-the-counter pain killers. ...
  8. Coconut oil pulling.

What happens if gum infection goes untreated?

Periodontitis (also called periodontal disease) is gum disease. This infection damages the soft tissue around your teeth and wears away the bone supporting them. If left untreated, the disease eventually ruins the bone, loosening the teeth and causing them to fall out.

Is gum infection serious?

Periodontitis is a severe gum infection that can lead to tooth loss and other serious health complications. Periodontitis (per-e-o-don-TIE-tis), also called gum disease, is a serious gum infection that damages the soft tissue and, without treatment, can destroy the bone that supports your teeth.